検査オプション(追加検査)
がん検診
肺CT検査(低線量肺がんCT検診) 【9,900円】
X線CTにより、胸部X線写真に比べて小さな肺がん、ろっ骨や血管などに重なって見えづらい肺がんを見つけることができます。通常の10分の1程度の低線量CT撮影のため、X線被ばくを気にされる方にも安心して受けていただけます。
【こんな方におすすめです】
- 40歳以上の方
- 喫煙経験がある方、または現在喫煙中の方
- 肺がんなどがんを患ったご家族がいらっしゃる方
- 咳や痰が長く続いている方

胸部レントゲン(写真左)では発見しづらい腫瘍が、CT画像(右)では発見できます
喀痰検査 【5,500円】
呼吸器系にがんがある場合、喀痰の中にがん細胞が出ることがあります。3日間痰を採取していただいて、顕微鏡で検査します。痰が出ない場合は「検体不適」になります。
喀痰中に出現したがん細胞
【こんな方におすすめです】
- 煙草を吸っている方
- 痰が出やすい方
胃カメラ 【3,300円】

胃バリウム検査に代えて胃カメラを受けることができます。
※受け入れ枠に限りがあるので、ご希望に添えない場合があります。
胃バリウムとの差額(X線との差額)
ペプシノゲン・ピロリ菌検査 【3,390円】
胃の健康度を調べる検査です。
ピロリ菌血中抗価:ピロリ菌の感染の有無を調べる検査です。
ペプシノゲン検査:胃がんのリスクとなる胃粘膜の萎縮を調べる検査です。
マンモグラフィー 【6,950円】※女性のみ



3Dマンモグラフィ 【8,260円】※女性のみ
3D撮影することで、乳腺の重なった病変を探しやすくなります。撮影は5分程度で終了します。乳房のマンモグラフィ撮影は、2年に一度の検査がおすすめです。
※月経前で胸の張っている時期は避けた方が痛みが少ないです。



以下に該当する方は、検査時に職員に申し出てください。
※検査ができないことがあります。
1. 妊娠中または妊娠している可能性がある方
2. 授乳中の方
3. 豊胸手術をされている方
4. ペースメーカーを埋めている方
5. V-Pシャントを入れている方
6. CVポート(薬液注入器具)を入れている方
乳腺超音波検査 【3,850円】※女性のみ


中央の黒い不整な乳腺組織がたくさん残っている方におすすめ
乳房の超音波検査を行います。乳腺組織がたくさん残っている方におすすめです。乳腺超音波では、マンモグラフィでは見えにくい、柔らかい組織や小さなしこりを超音波で詳細に検査することができます。
子宮がん検診 【3,520円】※女性のみ
子宮頸部の細胞診を行います。以下に該当する方は検査ができません。
1. 月経中および月経後3日間
2. 妊娠中あるいはその可能性がある方
3. 性交渉未経験の方
前立腺検査【2,910円】※男性のみ
血中のPSAを測定します。PSAは前立腺がんの腫瘍マーカーです。
50歳以上の方におすすめです。
甲状腺血液検査 【3,960円】
甲状腺検査(エコーあり)【7,810円】
甲状腺血液検査と甲状腺超音波検査のセットです。超音波を実施することにより、甲状腺疾患の診断がより有効となります。
血液検査にてTSH FH4サイログロプリンを測定し、甲状腺ホルモンの過剰または不足を測定します。自・他覚症状がわかりにくいため血液検査が有用です。サイログロプリンは腫瘍性病変で上昇します。
甲状腺血液検査と甲状腺超音波のセットです。超音波を実施することにより、甲状腺疾患の診断がより有効となります。
生活習慣病健診
骨密度測定 【3,960円】
腰椎(腰の骨)の骨密度をX線を用いて測定します。骨密度が低下すると腰椎の圧迫骨折の原因となることがあります。仰向けで寝たまま5分くらいで検査できます。


【こんな方におすすめです】
- 閉経後の方
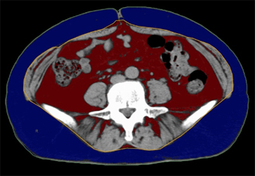
内臓脂肪測定 【2,200円】
X線CTを用いておへそのあたりの内臓脂肪面積を測定します。内臓脂肪過剰の場合は高血圧、糖尿病、高脂血症、動脈硬化などは、生活習慣病の誘引になるといわれています。

赤が内臓脂肪 青が皮下脂肪
動脈硬化検査 【1,100円】
加齢とともに動脈が硬化してきます。簡単な検査で、動脈の硬化状態がわかります。
脈波伝達速度
・心臓からの拍動が手足に届くまでの時間を測ります。
・血管が硬い(動脈硬化が強い)ほど速度が速くなります。
上腕と足首の血圧比
血管が詰まってくると、血流が悪くなり、足首の血圧がより低くなります。
【こんな方におすすめです】
・過去のドックで動脈硬化について指摘されたことのある方



脳血管健診 【12,000円】
MRIで脳血管と頸部血管を撮影します。
くも膜下出血の原因となる脳動脈瘤(血管のこぶ)や脳梗塞の原因となる脳血管・頸部血管の狭窄を発見することができます。
※MRI検査は、体内金属や閉所恐怖症の方など検査できない場合があります。
詳しくはこちら



心臓CT検査(BNP含む)【12,000円】
心臓の血管(冠動脈)CT検査と血液検査により、今後心筋梗塞を起こす危険性や心臓の機能について調べる検査です。
心臓冠動脈CT検査
造影剤を使用せず冠動脈の石灰化(動脈硬化)の有無を調べ、今後の狭心症や心筋梗塞になる可能性を評価する検査です。
血液検査(BNP)
心臓の動きが弱った時に分泌される「BNP」というホルモンの濃度を、血液検査で測定します。これにより心臓機能を評価します。


【こんな方におすすめ】
・高血圧の方
・脂質異常、肥満の方
・喫煙習慣がある方
・50歳以上の方
・糖尿病を患っている方、または疑いがある方
・ご家族(血縁者)が心臓病を患っている方
・突然死や冠動脈疾患が心配な方
- この記事に関するお問い合わせ先
-
健診センター
住所:静岡県藤枝市駿河台4丁目1番11号
電話番号:054-646-1111(代表) 054-646-1117(直通)
更新日:2025年04月01日














